主に食道~大腸の消化管、肝臓、膵臓、胆嚢を診療する科

消化器とは、口から肛門まで一本の長い管(ヒトの消化管は約9m)でつながっている消化管(食道、胃、小腸、大腸 等を含む)のほか、消化管をサポートする働きをする肝臓、膵臓、胆のう、脾臓も含まれています。これらで起きたとされる異常や病気について診療していくのが消化器内科です。当診療科は日本消化器病学会が認定する消化器病専門医である当院長が担当します。
消化器症状の多くは腹痛、嘔吐・吐き気、下痢、便秘といったものです。これらの大半は一過性の症状であることが多いので、一般内科で診ることもあります。ただ重篤な消化器疾患の一症状として現れる可能性もあるので、診察の際に診断をつけるための詳細な検査が必要と医師が判断した場合は、単純X線撮影、超音波検査、内視鏡検査(胃カメラ、大腸カメラ)等を行います。その結果も含めて総合的に判断し、治療法を決めるなどしていきます。
以下のような症状があれば、一度ご受診ください(例)
- お腹が痛い
- 背中に痛みがある
- 便通異常(下痢・便秘)がある
- 胸やけがする
- 食欲不振がみられる
- 急激に体重が減少した
- 顔色が悪いとの指摘を受けた
- 突然の便意に見舞われる など
消化器内科で取り扱う主な疾患
逆流性食道炎、食道カンジダ症、急性胃炎、慢性胃炎、胃・十二指腸潰瘍、ピロリ菌感染症、機能性消化管障害、感染性胃腸炎、急性腸炎(虫垂炎、憩室炎、虚血性腸炎 等)、便秘症、下痢症、過敏性腸症候群(IBS)、クローン病、潰瘍性大腸炎、脂肪肝、急性肝炎、慢性肝炎、肝硬変、胆石、胆嚢炎、胆嚢ポリープ、急性膵炎、慢性膵炎、食道がん、胃がん、大腸がん、肝がん、胆嚢がん、膵がん など
腹部超音波検査
脂肪肝は自覚症状が少ないため、気づくと肝硬変や肝がんなどの重篤な状態になってしまっていることがあります。肝臓が硬くなると健康な状態に戻すことが難しくなります。そのため、脂肪肝は早期発見が大切です。
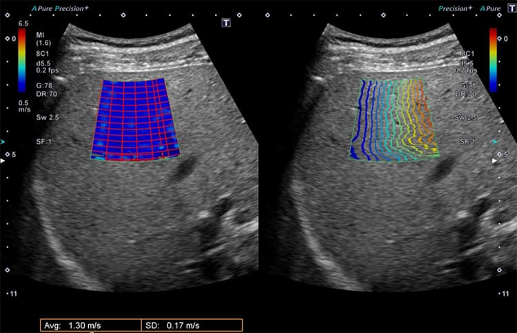
当院の腹部超音波検査は「ATI」と「SWE」という2つの機能を搭載しています。これらは肝脂肪の状態を正確に評価します。
ATI(肝脂肪量を高精度に推定)

ATI(Attenuation Imaging)は、肝臓の脂肪量を正確に測定する方法です。従来の超音波検査では、脂肪肝の進行度を客観的に判断することまではできませんでした。一方ATIでは、脂肪肝を数値化することで客観的な評価が可能になります。
痩せている方も脂肪肝にかかることがあるため、外見だけでは判断が困難で、肝臓の状態を数値化できるATIは非常におすすめです。
SWE(肝臓の硬さを評価)

SWE(Share wave Elastography)は、肝脂肪化および肝線維化(肝臓の硬さ)を評価し、脂肪肝の進行状況とリスクの有無を推定します。従来、肝線維化の診断には腹部に針を刺す「肝生検」が主流ですが、SWEでは針を刺す必要がないため、検査に伴う負担が少なくなります。
当院ではATIとSWEでの診断を併せて用いることで、より正確に脂肪肝を診断してまいります。